clínica dental especializada en estética dental en canarias
- Blanqueamientos Dentales
- Estudio de Sonrisa
- Carillas de Porcelana
- Carillas de Composite
- Rejuvenecimiento de Encías
- Férula para Bruxismo
¡Pide cita y empieza el cambio!
EXCELENTE A base de 178 reseñas Publicado en Ariadna Jorge DíazTrustindex verifica que la fuente original de la reseña sea Google. Mi experiencia en la Clínica Dental Naveiras ha sido excelente de principio a fin. Desde la primera visita, el trato fue muy cercano y profesional, haciendo que me sintiera cómoda y tranquila en todo momento. El equipo es atento, paciente y se toma el tiempo necesario para explicar cada tratamiento con claridad, resolviendo todas las dudas sin prisas. Sin duda, una clínica dental totalmente recomendable. Volveré y la recomendaré a familiares y amigos sin dudarlo.Publicado en ADRIAN DE ARMASTrustindex verifica que la fuente original de la reseña sea Google. Muy contento con la clínica, el personal me resultó muy amable y cercano desde el primer momento. Fueron muy pacientes conmigo y me explicaron todo lo necesario para el tratamiento a seguir. Una clínica que me transmitió confianza desde el minuto uno y cumplieron con las expectativas. Sin duda una clínica muy recomendable y a la que volveré!Publicado en juana avalos britoTrustindex verifica que la fuente original de la reseña sea Google. Me ha encantado mi experiencia en esta clínica. Desde el primer momento me hicieron sentir cómoda y en confianza. Todo el equipo es fantástico. Recomiendo al 100%.Publicado en sirope de fresaTrustindex verifica que la fuente original de la reseña sea Google. Acudí a la Clínica Naveiras por recomendación y la experiencia no pudo ser mejor. Desde la primera visita el trato fue cercano y profesional, te hacen sentir cómodo y en confianza en todo momento. Explican todo con claridad y se nota que se preocupan de verdad por el paciente. La clínica está muy cuidada, es moderna y transmite mucha tranquilidad. Los resultados han sido excelentes y el seguimiento después del tratamiento es impecable. Sin duda, una clínica a la que volveré y que recomendaré sin dudarlo.Publicado en Soledad AbreuTrustindex verifica que la fuente original de la reseña sea Google. Quedé realmente satisfecha con el trato y con el trabajo realizado. Transmiten confianza y uno se siente en muy buenas manos. La recomiendo 100%Verificado por: TrustindexLa insignia verificada de Trustindex es el símbolo universal de confianza. Solo las mejores empresas pueden obtener la insignia verificada si tienen una puntuación de revisión superior a 4.5, basada en las reseñas de clientes de los últimos 12 meses. Leer más
Blanqueamientos Dentales
El tratamiento de Blanqueamiento Dental de Clínica Dental Naveiras consiste en la aplicación de tecnología avanzada, como luz LED y geles de peróxido de hidrógeno, para eliminar manchas y aclarar el tono de los dientes de manera segura y efectiva. Este procedimiento mejora la estética de la sonrisa, brindando luminosidad y uniformidad, ideal para quienes desean eliminar el desgaste causado por el café, tabaco o envejecimiento, recuperando la confianza en su sonrisa.
Estudio de Sonrisa
El tratamiento de Estudio de Sonrisa de Clínica Dental Naveiras consiste en un análisis digital detallado de la estructura dental, encías y rasgos faciales mediante escaneo 3D y fotografía de alta precisión. Este proceso permite diseñar una sonrisa armónica y personalizada, ideal para quienes buscan una mejora estética adaptada a sus facciones. Se reducen imperfecciones, se optimiza la simetría y se garantiza un resultado natural y equilibrado.
Carillas de Porcelana
El tratamiento de Carillas de Porcelana de Clínica Dental Naveiras consiste en la colocación de finas láminas cerámicas sobre la superficie dental, utilizando tecnología de adhesión de última generación. Este procedimiento corrige manchas, fracturas, irregularidades y espacios entre dientes, ofreciendo una sonrisa blanca, uniforme y duradera. Ideal para quienes buscan una transformación estética sin comprometer la estructura dental natural.
Carillas de Composite
El tratamiento de Carillas de Composite de Clínica Dental Naveiras consiste en la aplicación de un material altamente estético y modelable directamente sobre el diente, esculpido con precisión para corregir color, forma y alineación. Gracias a técnicas avanzadas, se logra una sonrisa armónica en una sola sesión. Ideal para quienes desean una solución rápida, accesible y con un acabado natural sin desgaste dental excesivo.
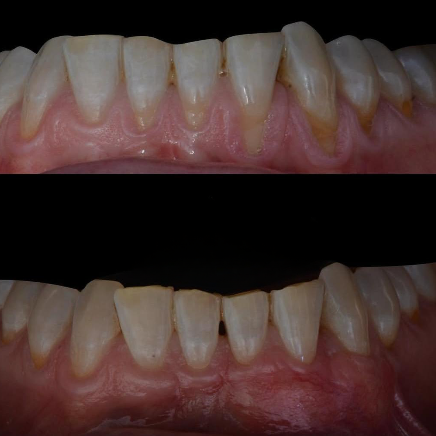
Rejuvenecimiento de encías.
El tratamiento de Rejuvenecimiento de Encías de Clínica Dental Naveiras consiste en la regeneración y mejora estética del tejido gingival mediante tecnología de vanguardia, como láser de diodo y microcirugía mínimamente invasiva. Este procedimiento corrige encías retraídas, inflamadas o irregulares, reduciendo la sensibilidad dental, mejorando la armonía de la sonrisa y previniendo problemas futuros. Ideal para quienes sufren molestias, inseguridad estética o riesgo de pérdida dental.
Tratamiento Anti Bruxismo
Nuestro tratamiento para el bruxismo (Férula de Bruxismo) está diseñado para proteger tu sonrisa y mejorar tu calidad de vida. El bruxismo, o rechinamiento inconsciente de los dientes, puede provocar dolor mandibular, desgaste dental e incluso problemas de sueño.
Gracias a diagnósticos personalizados y férulas dentales a medida, conseguimos aliviar la tensión muscular y prevenir daños mayores. Todo en un proceso cómodo, discreto y eficaz. Ideal para quienes buscan descanso, bienestar y una solución duradera. La solución definitiva para el bruxismo.
+30 años de experiencia
Hemos recuperado la sonrisa de miles de pacientes satisfechos a lo largo de 30 años.
Nuestro equipo
Contamos con un equipo experimentado y especializado en implantología dental que te brindará el mejor servicio y apoyo durante todo el proceso.
La última tecnología
Contamos con tecnología 3D y la maquinaria más moderna para realizar un diagnostico preciso y personalizado.
Da el primer paso para recuperar tu sonrisa HOY y pide cita YA
Solicita tu primera consulta y recibe un diagnóstico personalizado.
Más de 30 años de experiencia y miles de pacientes satisfechos y sonrientes nos abalan.
¡Pide ya tu cita y vuelve a sonreír sin miedo!
Dentro del Equipo:
El Doctor Francisco Naveiras está licenciado en Odontología por la Univesidad Europea de Madrid y más tarde amplió sus estudios en centros tan prestigiosos como Columbia University New York o la universidad de Bolonia en Italia. Actualmente lidera a un un equipo joven y dinámico formado por profesionales altamente cualificados y en constante formación.
Más de 30 años de experiencia en Santa Cruz de Tenerife
Lo más importante siempre ha sido el cuidado bucodental de nuestros pacientes.
Formamos un equipo con muchas ganas de mejorar cada día y ofrecerte el servicio dental más exclusivo.
La estética dental es nuestra especialidad y podemos garantizar calidad y excelencia en este servicio.
Preguntas Frecuentes
Si tienes dudas, te las resolvemos
¿Qué tratamientos ofrecen para mejorar la estética de mi sonrisa?
En Clínica Dental Naveiras ofrecemos una variedad de tratamientos estéticos, incluyendo blanqueamientos dentales, carillas de porcelana y composite, diseño de la sonrisa y ortodoncia invisible.
¿El blanqueamiento dental daña el esmalte de los dientes?
No, los blanqueamientos dentales que utilizamos no dañan, desmineralizan ni desgastan el esmalte.
¿Qué son las carillas dentales y para qué se utilizan?
Las carillas son láminas delgadas que se adhieren a la superficie frontal de los dientes para mejorar su apariencia, corrigiendo imperfecciones como manchas, fracturas o desalineaciones leves.
¿Los tratamientos de estética dental son dolorosos?
En general, estos procedimientos son mínimamente invasivos y no causan dolor. Además, aplicamos anestesia local cuando es necesario para asegurar su comodidad durante el tratamiento.
¿Cuánto tiempo duran los resultados de los tratamientos estéticos?
La duración varía según el tratamiento y el cuidado posterior. Por ejemplo, las carillas de porcelana pueden durar muchos años con una higiene adecuada y visitas regulares al dentista.
¿Qué cuidados debo tener después de un tratamiento estético dental?
Es importante mantener una buena higiene oral, evitar alimentos y bebidas que puedan manchar los dientes, y programar revisiones periódicas con nosotros para asegurar la longevidad de los resultados.